We would like to personally welcome you to Margolian Dentistry. We are a modern family friendly dental practice in Whitby and are privileged to have been caring for the dental needs of Durham families for over 25 years.
At Margolian Dentistry we have a fully equipped dental laboratory with a full time team of lab technicians. Our passion for precision and quality led us to bringing the process entirely in office. This allows our dentists and technicians to work side by side in designing and planning to ensure a seamless process from surgery to final restorations.

We provide a wide variety of dental services to care for all of your family’s needs in one location.

Dental implants serve as replacements of the roots of ones teeth.

See what braces, crowns, veneers, teeth whitening, bridges, implants, gum reshaping -- or even a complete dental makeover -- can do for your smile.

Before and After Single Dental Implant

Before and After Full Arch Dental Implants

Before and After Invisalign

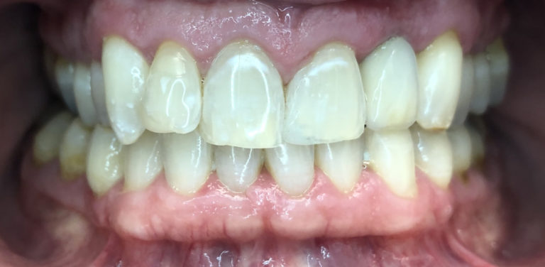
Before and After Veneers
Root canal therapy is a treatment that saves severely damaged, infected and dead teeth from extraction. Inside every tooth is a nerve extending from the tooth roots into the centre of the tooth crown, the part that is visible in the mouth. It’s contained in something called….
Teeth replacement options with dental implants have become more routine as the technology has improved. The best way to assess if you are healthy enough for a dental implant is to come in for a free consultation with one of our dentists to go over your medical history together.
1750 Dundas Street East
Whitby, Ontario, L1N2K8